
Microscoop Google traceert kankercellen in real-time
De Augmented Reality Microscope van Google weet dankzij kunstmatige intelligentie waar de kanker zit.
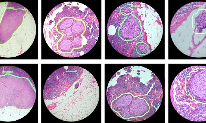
In een nieuw onderzoek combineert Google augmented reality met kunstmatige intelligentie. Onderzoekers die naar kankercellen onder een microscoop kijken, worden gewaarschuwd als het AI-systeem een kankercel traceert.
Door de lens van de microscoop heen ziet de onderzoeker dan meteen een kringetje of een heatmap rondom het zieke gedeelte. De AR-microscoop geeft de meldingen door met een snelheid van 100 milliseconde, dus zo goed als real-time.
Prostaatkanker
De Google-onderzoekers hebben de microscoop nu getraind op borst- en prostaatkanker, maar volgens hen kan de technologie gemakkelijk uitgebreid worden naar andere ziektes, zoals malaria en tbc. Ook is het volgens hen mogelijk om de technologie toe te passen op bestaande microscopen.




